
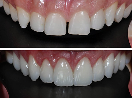
Trata se de restaurações realizadas com alto teor estético e resistência.
As lentes são indicadas para quase todas as necessidades de alteração da estética dos dentes (forma dentária inadequada, cor indesejada, tamanho irregular ou posição errada dos dentes).
Sua maior vantagem é o leve desgaste do dente, podendo ser usada apenas na parte da frente (região vestibular).
Responsável Técnico: Dra. Jéssica Ester | CRO-PE 10165
Endereço: Avenida Bernardo Vieira de Melo,1496. Empresarial Bernardo Vieira de Melo | Sala 102 | Piedade | 54410-010
* Na frente da caixa econômica de Piedade, ao lado do Taysan.

